Borrar
Detalle de un tornillo odontológico, analizado para mejorar el ajuste de sus muescas microscópicas. | GIR AVANCES EN SALUD ORAL
Una abeja bajo el microscopio electrónico en unas pruebas realizadas en el Servicio de Microscopía de la Universidad.
Aumento de la abeja mostrando una de sus alas.
Detalle del ala de la abeja mostrando el hamuli, sistema de ganchos que les permite unir la anterior con la posterior para volar.
Cistos de algas microscópicas de unas seis micras (milésimas de milímetro) de diámetro, bajo el ojo electrónico del microscopio de barrido. | ANA ISABEL NEGRO
La belleza de las diatomeas al microscopio electrónico. | SERVICIO MICROSCOPÍA USAL
Imagen de la investigación de un hidrogel con aminoácidos creado para estudiar posibles usos de este polímero en el campo de la biomedicina como soporte para el crecimiento celular. | GRUPO DE APLICACIONES BIOMÉDICAS DE INGENIERÍA QUÍMICA
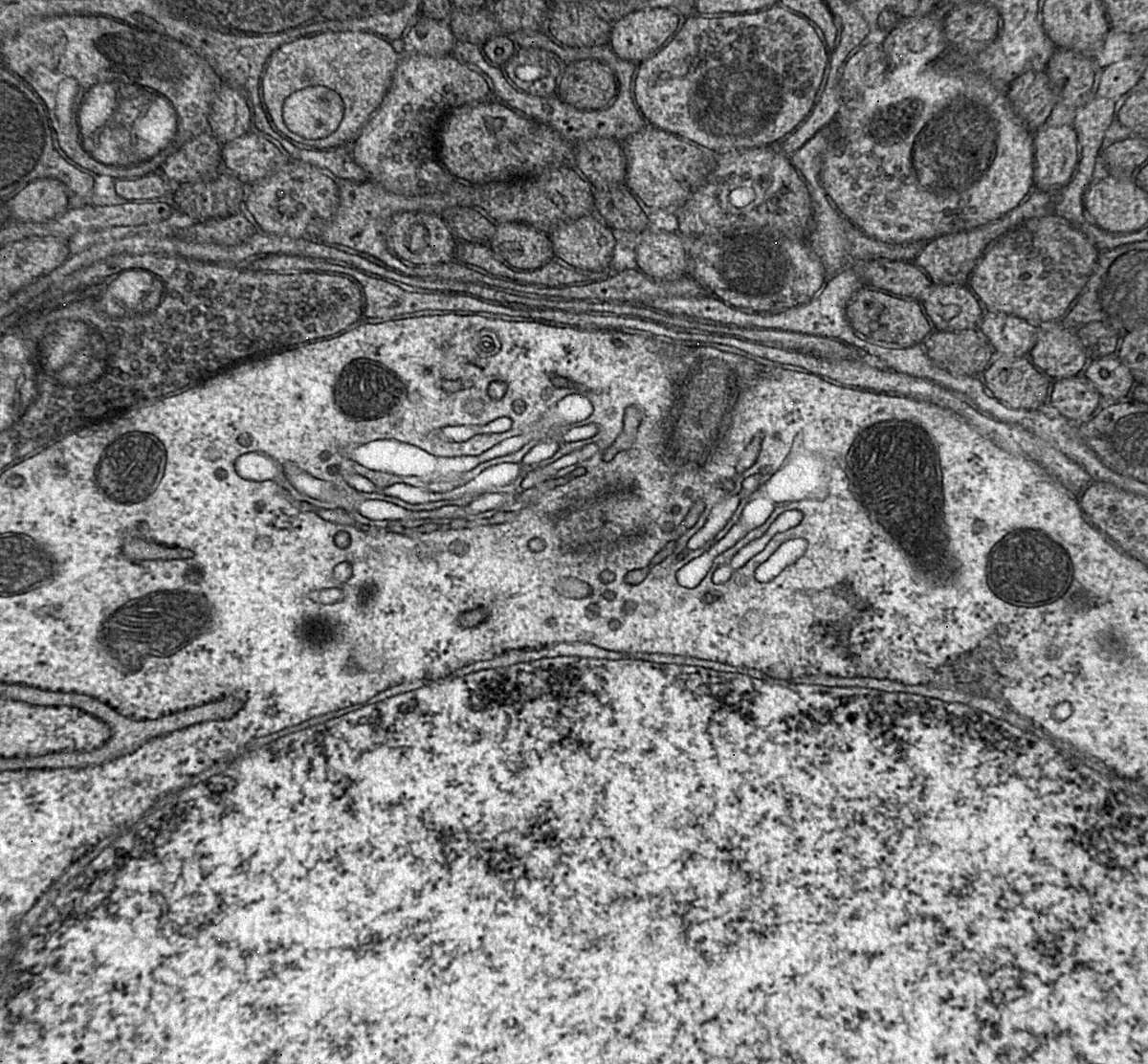
Detalle del proceso de sinapsis, por el que se transmite el impulso nervioso.

La materia como nunca la has visto

Escudriñar la composición y estructura de la materia es la misión de los microscopios electrónicos de la Universidad de Salamanca. La plataforma de apoyo a la investigación NUCLEUS gestiona este servicio de avanzada tecnología que trabaja en la vanguardia de la ciencia.

Jueves, 20 de mayo 2021, 10:30

Comenta

Ss cumple casi un siglo desde que el ser humano impulsó su búsqueda de respuestas a los enigmas de la vida aplicando la electrónica al viejo invento del microscopio, ideado en los albores del siglo XVII por Zacharias Janssen y desarrollado posteriormente por Antonie van Leeuwenhoek. El estudio y análisis de las estructuras microscópìcas de la materia dio entonces un vuelco gracias a la tecnología y se ha ido perfeccionado hasta hoy en centros de investigación como los que posee la Universidad de Salamanca.

El Servicio de Apoyo a la Investigación NUCLEUS de la institución académica ofrece a la comunidad universitaria en sus equipos de Microscopía la infraestructura necesaria para preparar, visualizar y analizar tanto estructuras animales y vegetales como minerales. Cuenta para ellos con dos microscopios, uno de transmisión y otro de barrido, y posee además software especializado que permite la caracterización morfológica de distintos materiales. Asimismo, la aplicación de técnicas espectroscópicas asociadas hace posible conocer su composición.

La responsable del servicio Marta Ortiz maneja el microscopio de barrido junto a Conchi Lillo (de pie). | GUZÓN

Los experimentos de Ernst Ruska, Bodo von Borries y Max Knoll alumbraron en 1933 el primer microscopio electrónico, que empezó a ser comercializado por la compañía Siemens en 1937. El microscopio electrónico de transmisión (TEM son sus iniciales en inglés) consta de un cañón electrónico dispuesto en la parte superior, un sistema de vacío, una serie de lentes electromagnéticas, una pantalla fluorescente y un sistema de registro. La visualización tiene lugar por medio de la generación de contraste, y la imagen final depende del grado de dispersión o no de los electrones que atraviesan la muestra y ofrece información estructural de ella.

Algunas muestras han de tener un grosor ultrafino para ser analizadas: no más de 0,00009 mm.

Entre los usos más frecuentes del microscopio electrónico de transmisión que posee la Universidad en el edificio multiusos I+D+i de la calle Espejo están el análisis de las características de la cristalización y la estructura microscópica de materiales. En cuanto a las muestras biológicas, permite muchas y variadas posibilidades como analizar alteraciones celulares en patologías y la organización subcelular de organismos, plantas, bacterias y virus.

UN PASO MÁS. En 1937, el microscopio electrónico de barrido inventado por Manfred Von Ardenne logró mejorar la resolución del de sus precedesores y más aún con la aparición en 1965 del “Stereoscan”, primer aparato dirigido a su comercialización. El microscopio electrónico de barrido (SEM) emite electrones que chocan con la muestra y se dispersan, lo que permite reconstruir la superficie de esta muestra manteniendo la resolución. “Así podemos ver detalles microscópicos de, por ejemplo, el ala de una abeja, el ojo de una mosca o los estomas de una hoja, que no se pueden ver con otras herramientas”, afirma la profesora Conchi Lillo, directora académica del servicio. “También es muy útil -añade- para analizar la estructura de muestras no biológicas, como nuevos materiales, rocas, plásticos, suelos, etc. Y permite además hacer análisis in situ de la composición química de la zona que se está visualizando”.

La observación por microscopio electrónico requiere de equipos complementarios para realizar las investigaciones. El ultramicrotomo se emplea para obtener cortes ultrafinos (de un grosor de entre 60 y 90 nanómetros, siendo un nanómetro la millonésima parte de un milímetro) de las muestras que se desea observar en un microscopio de transmisión. Este corte ultrafino hace posible que sea traspasado por los electrones.

Los equipos de microscopía son un complemento práctico para los investigadores de doctorado

Otros equipos específicos para la realización de muestras son el metalizador y el punto crítico, que preparan las muestras biológicas para su observación en el microscopio electrónico de barrido. El primero aplica un recubrimiento de metal a las muestras biológicas que permite observar materiales no conductores; el segundo practica un desecado de la muestra para evitar que el agua interfiera en el entorno de baja presión del microscopio.

El Servicio de Microscopía de la Universidad de Salamanca realiza cursos de formación de técnicos a través de la plataforma de apoyo a la investigación Nucleus, y además de recibir visitas de estudiantes de Master, sobre todo de áreas de ciencias y biomédicas, es un complemento para los trabajos de investigación de doctorado.

La técnico Jennifer Sánchez obtiene cortes ultrafinos de la muestra con la cuchilla de diamante del ultramicrotomo. | GUZÓN

El personal investigador que desee utilizar los equipos ha de abonar una tarifa ajustada que cubre los costes mínimos de mantenimiento de los aparatos y de los materiales empleados. Pero, dos años después de la instalación del microscopio de barrio (el de transmisión llegó en 2016) la falta de un contrato de mantenimiento supone un serio reto para el servicio de Microscopía.

“Nosotros dependemos de Nucleus, pero los costes generales del Servicio, el mantenimiento y las posibles reparaciones han de correr a cargo del Vicerrectorado de Investigación. Cada vez que hay una incidencia, ya solo el desplazamiento del técnico desde Madrid cuesta 3.000 euros”, apunta la responsable Conchi Lillo. “Y la caída de actividad que ha ocasionado la pandemia ha reducido drásticamente su uso por los investigadores y, por tanto, los ingresos por tarifas. Es la pescadilla que se muerde la cola”, lamenta la investigadora.

Sigues a Roberto Zamarbide. Gestiona tus autores en Mis intereses.

Contenido guardado. Encuéntralo en tu área personal.

Reporta un error en esta noticia

* Campos obligatorios

lagacetadesalamanca La materia como nunca la has visto